Bone Marrow Lesions Treatment in Miami

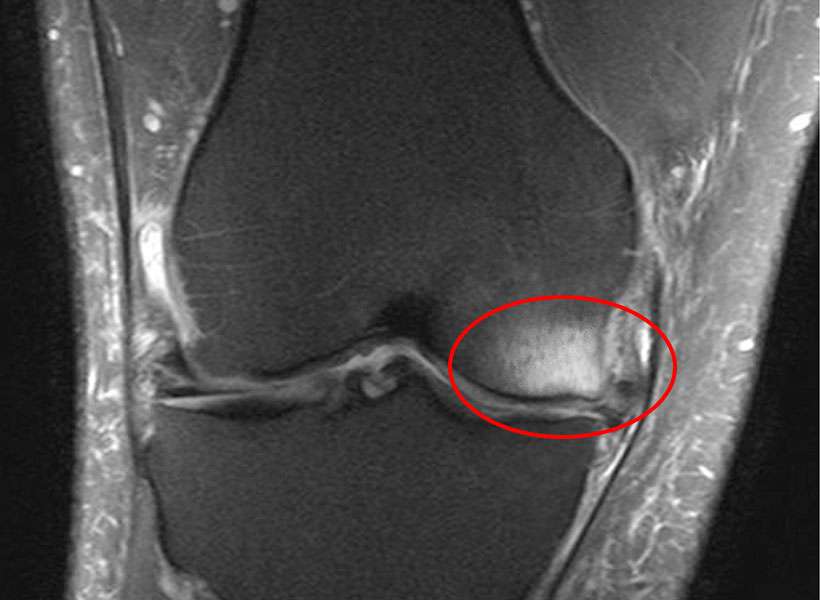
Bone marrow lesions (BMLs) are commonly identified on knee MRI and are increasingly recognized as an important contributor to knee pain, particularly in patients with osteoarthritis or prior joint injury. These lesions reflect changes within the bone beneath the joint surface and may be associated with pain, inflammation, and altered joint mechanics.
At our Miami clinic, we provide a comprehensive, non-surgical approach to the evaluation and treatment of bone marrow lesions focused on accurate diagnosis, symptom management, joint preservation, and individualized care planning.
What Are Bone Marrow Lesions?
Bone marrow lesions are areas within the bone that appear as signal changes on MRI, typically beneath the cartilage surface of the knee joint. They are sometimes referred to as bone marrow edema–like lesions, though they represent a variety of underlying bone changes rather than simple fluid accumulation.
Bone marrow lesions are most commonly seen in:
- Knee osteoarthritis
- Following joint injury or trauma
- Areas of increased mechanical stress within the knee
They are not visible on standard X-rays and are best identified using MRI.
Why Do Bone Marrow Lesions Matter?
Research has shown that bone marrow lesions are often associated with:
- Knee pain
- Progression of osteoarthritis
- Changes in joint loading and biomechanics
In many patients, bone marrow lesions correlate more closely with pain than cartilage loss alone. However, not all bone marrow lesions cause symptoms, which is why clinical correlation is essential.
Symptoms Associated With Bone Marrow Lesions
Symptoms may vary depending on lesion size, location, and underlying joint health. Common symptoms include:
- Deep, aching knee pain
- Pain with weight-bearing activities
- Pain that worsens with prolonged standing or walking
- Knee stiffness or swelling
- Activity-related discomfort that improves with rest
Symptoms often overlap with those of knee osteoarthritis.
Common Causes of Bone Marrow Lesions
Bone marrow lesions may develop due to:
- Knee osteoarthritis
- Abnormal joint loading or alignment
- Meniscus degeneration or tears
- Prior knee injury or trauma
- Repetitive stress to subchondral bone
They are often part of a broader degenerative process within the knee rather than an isolated finding.
How Bone Marrow Lesions Are Diagnosed
Diagnosis involves correlating MRI findings with symptoms and physical examination. Evaluation typically includes:
- Detailed history and symptom assessment
- Physical examination focusing on knee mechanics and joint loading
- Review of prior imaging
- MRI of the knee to identify bone marrow lesions and associated joint changes
Imaging findings are interpreted in the context of symptoms, as not all lesions require intervention.
What are Options for Non-Surgical Treatment of Bone Marrow Lesions in Miami?
Treatment is individualized and focuses on reducing pain, improving function, and addressing contributing factors. If the bone marrow lesions is asymptomatic, it is unlikely that any treatment needs to be undertaken.
Physical Therapy and Rehabilitation
Physical therapy may focus on:
- Improving lower-extremity strength
- Optimizing gait and movement patterns
- Reducing abnormal joint loading
- Enhancing knee stability
Activity modification is often an important part of treatment.
Medication Management
Appropriate medication strategies may include:
- Anti-inflammatory agents
- Pain relievers
Medications can help manage symptoms while other therapies promote healing.
Bracing and Support
Knee braces, orthotics, and supportive devices may reduce strain and improve stability during activities.
Image-Guided Injections for Knee Pain Associated With Bone Marrow Lesions
Targeted injections can reduce inflammation and pain:
- Corticosteroid injections for short-term relief
- Hyaluronic acid injections for joint lubrication
These are performed under imaging guidance when appropriate to ensure accuracy and safety.
Is Regenerative Medicine Helpful for Knee Pain associated with Bone Marrow Lesions?
In cases where conservative care alone is insufficient, regenerative medicine options may help support the body’s own healing processes and improve long-term outcomes.
Regenerative treatments may include:
- Platelet-Rich Plasma (PRP) — injections of concentrated platelets from your own blood to promote healing and reduce inflammation in damaged knee tissues
- Bone Marrow Concentrate containing Stem Cells — using concentrated cells from your own bone marrow to support tissue repair and reduce pain
These procedures use your own biologic materials to enhance healing and function, helping avoid or delay the need for surgery in many cases.
Comparing Treatment Options for Painful Bone Marrow Lesions
| Treatment Type | Purpose | Duration of Impact | Invasiveness |
|---|---|---|---|
| Physical Therapy | Improve movement and function | Long-term with adherence | Non-invasive |
| Medications | Pain and inflammation control | Short-term | Non-invasive |
| Bracing/Support | Reduce joint stress | Activity-dependent | Non-invasive |
| Injections (steroid, hyaluronic acid) | Reduce inflammation | Weeks to months | Minimally invasive |
| Regenerative Treatments (PRP/Cell) | Promote healing | Potential long-term | Minimally invasive |
| Surgery (if necessary) | Structural repair | Permanent | Invasive |
Many patients benefit from a coordinated, non-surgical plan before considering surgical intervention.
Who Is a Good Candidate for Non-Surgical Bone Marrow Lesion Treatment?
You may be a good candidate if you:
- Have knee pain associated with bone marrow lesions on MRI
- Do not have advanced joint collapse or severe instability
- Prefer a non-surgical approach
- Are willing to participate in rehabilitation and activity modification
Treatment plans are individualized based on imaging findings, symptoms, and functional goals.
Painful Bone Marrow Lesions in Active Adults and Athletes in Miami
Active adults and professionals often place significant stress on the knees through sports and repetitive movements which can sometimes lead to the development of painful bone marrow lesions. Treatment focuses on:
- Strengthening the muscles surrounding the knee joint, as well as the hip and ankle
- Preventing recurrence and flare-ups
- Supporting long-term knee health
The goal is to help patients remain active and productive while managing symptoms safely and effectively.
Frequently Asked Questions
Will I need surgery for knee pain associated with bone marrow lesions?
Rarely. Most cases of painful bone marrow lesions can be treated successfully with non-surgical care including therapy, patience, injections, and regenerative procedures.
Is regenerative medicine safe?
When performed by trained specialists using your own biologic materials, regenerative procedures are generally considered safe and may support healing processes. These procedures should always be performed with imaging guidance like ultrasound and fluoroscopy to target very specific structures in or around the knee joint.
How long does recovery take?
Recovery times vary by condition and treatment. Rehabilitation and regenerative care may take weeks to months for optimal improvement.
Is imaging necessary?
Imaging is used when it will meaningfully influence diagnosis or treatment planning. An MRI is the study that can detect a bone marrow lesion that may be associated with pain.
Schedule an Appointment
If you are experiencing knee pain, or other painful condition, and want a comprehensive evaluation and non-surgical treatment plan, we are here to help. Contact our Miami clinic to schedule an appointment.
